患者:60岁,男性
2016年6月初
因咳嗽、痰中带血于当地医院检查胸部CT提示:左肺上叶占位性病变,考虑恶性肿瘤。患者得知检查结果后,顿感心情沉重,愁眉不展。当地医院建议其手术切除,但患者担心手术的创伤等对人体的影响,四处寻找副作用更小而同样有效的治疗手段。
2016年06月15日
患者带着全部病历就诊于国内一个知名的质子治疗中心,经验丰富的乔主任建议进一步完善PET/CT检查再做决定。庆幸的是,乔主任说肿瘤病灶仅局限于左肺上叶,区域淋巴结及远地脏器均未见肿瘤转移。诊断为:左肺周围型肺癌cT1bN0M0ⅠA期。经过肿瘤专家组会诊,建议予左肺病灶行质子放射治疗或手术切除治疗。患者得知自己为早期肺癌,患者因担心手术带来的风险、痛苦和脏器的损伤,坚决拒绝手术,要求行质子治疗。
2016年06月17日
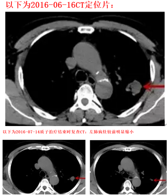
质子定位并制定治疗计划,开始行质子放射治疗,左肺上叶病灶,DT68cGE/17f,5f/w。质子治疗几次后,咳嗽、痰中带血的情况明显好转,且质子治疗期间患者无丝毫不适症状,未出现任何副反应。质子治疗结束后复查胸部CT提示病灶较前明显缩小,患者悬着的心终于放下。
有图有真相,请看质子治疗经过CT图:


当前,I期非小细胞肺癌(NSCLC)的标准治疗方案是肺叶切除或肺切除术,5年的生存率在50~70%之间。但是在临床中,一部分患者是不适合手术的,主要是肺功能差或者存在基础疾患,如心脏病等不能耐受手术。也有些病例适合手术,但患者因担心手术创伤等拒绝手术。在过去的一段时间里,这些患者通常接受传统的常规分割放射治疗,单次剂量2Gy,总剂量为60Gy左右,一般6周完成。局部控制率仅为30~70%。5年的总生存率仅为15~30%,无法达到和手术类似的效果。研究发现,治疗效果不佳主要由于放疗剂量的不足。但是,进一步加大放疗剂量势必会造成正常组织的损伤,造成严重的并发症。
质子治疗对比普通放疗在肺癌治疗方面有一定的优势:
① 肺癌邻近心脏、大血管、肝脏等重要器官,普通放疗剂量太大,容易造成严重副作用,剂量小又达不到治疗效果,质子线小于普通放疗的X线的剂量就能达到相同的治疗效果;
② 质子治疗独特的布拉格峰原理,使得大部分剂量完全落在肿瘤部位,其他组织器官几乎不受影响,因此,不会产生严重副作用;
质子治疗原理:
质子治疗是将失掉电子的氢原子原子核,利用回旋加速器或者同步加速器加速到光速约70%,以这种极快的速度穿透到人体内部,到达癌细胞所在的特定部位,速度突然降低并停止,在射程终点处形成一个尖锐的剂量峰,称为Bragg峰(“布拉格峰”),释放出最大能量,将癌细胞杀死。
③ 质子束以高速进入人体,穿透力强,能量可以自由控制调节到达人体组织任意深度,而普通X线穿透力稍弱,达到肿瘤深度时候,剂量剩余无几,都在其他组织部位消耗掉了;
④ 质子治疗能提升对肿瘤局部的控制,特别是病灶单一的局部肿瘤,同时由于对周边正常组织和神经、器官的保护非常好,伤害极低,患者的生存质量显著提高。
质子治疗适应症
对于脑部良恶性肿瘤、脊髓肿瘤、头颈部肿瘤、眼部癌症、胸腹部肿瘤、儿科肿瘤等均有较好的疗效。质子其对于儿童及青少年癌症的治疗有较好的敏感性,能有效提升儿童治疗后的生活质量和生存期。
这些特殊人群应特别关注
Ø 身体各部位很多肿瘤都可以考虑用质子治疗,但必须是局限性的肿瘤,即没有发生扩散、转移的肿瘤,特别是毗邻重要脏器和组织部位的肿瘤
Ø 质子治疗适合那些因年纪大、身体弱,或由于合并疾病,或肿瘤位置靠近重要脏器(比如头颈部癌症、腹膜后癌症)等手术困难的患者
Ø 质子治疗也很适合儿童中枢神经系统肿瘤的治疗,尤其是无法手术切除的中枢神经系统的肿瘤
如何进行质子治疗?
全球肿瘤医生网与全球知名的质子中心联手,打造国内权威的质子治疗评估会诊中心,中心拥有国内外知名质子专家,例如日本质子第一人秋原哲夫、美国质子专家X. Ronald Zhu,可为患者提供病情评估和远程会诊。帮助患者在全球范围内寻找最适合的质子治疗中心,并协助患者接收质子治疗。目前美国、德国、日本、中国台湾及大陆都有权威的质子治疗中心,患者可以根据自己的病情自行选择!
国内肺癌患者,特别是不能手术的肺癌患者,如需要质子治疗评估及会诊,可致电全球肿瘤医生网医学部预约,也可以登陆全球肿瘤医生网了解更多质子相关资讯。